Seu rejuvenescimento facial mais poderoso não começa na pele: Começa nos dentes.

Descubra como alinhar seus dentes de forma invisível enquanto recupera a estrutura facial que sustenta, suaviza e rejuvenesce — sem preenchimentos, sem invasão, com ciência comprovada.

Agendar minha avaliação PhD
Imagem 1
Imagem 6

O único método que trata seus dentes como arquitetura facial

Você sente que...

  • Expressão: seu rosto parece mais pesado ou cansado?
  • Sustentação: percebe perda de suporte labial ou lábios “afundando”?
  • Juventude: nota envelhecimento silencioso no terço inferior da face?
  • Sorriso: quer alinhar sem aparelhos metálicos ou procedimentos longos?
  • Discrição: precisa de algo invisível e compatível com sua rotina?
  • Segurança: busca um tratamento científico, não improvisado?
  • Resultado: deseja parecer mais jovem sem “denunciar” que fez algo?
  • Função dentária: sente que “os dentes não se encaixam direito”?
  • Higiene: dificuldade para higienizar corretamente?
  • Saúde gengival: acúmulo frequente de placa e inflamação gengival?
  • Desgaste: desgaste irregular dos dentes ao mastigar?
  • Pressão: sensação de pressão ou sobrecarga em dentes específicos?
  • Dor: dor localizada sem causa aparente?

Se você respondeu sim a pelo menos 2 dessas perguntas,

o Método PhD de Alinhamento foi criado exatamente para você.

Agendar minha avaliação PhD
Imagem 7

Atendimento com critério, planejamento e previsibilidade

“A Dra. Lituania Fialho é PhD em Odontologia — uma das poucas especialistas do Brasil que une ciência acadêmica, planejamento biomecânico 3D e análise estética facial avançada.”

Foto Dra. Lituania
  • Formação: Doutorado (PhD) em Odontologia
  • Especialização: Ortodontia (Invisalign Doctor) e Radiologia de Cabeça e Pescoço
  • Diferencial: Estética facial com planejamento milimétrico dente por dente com análise facial
Agendar minha avaliação PhD

Um método em 7 etapas para estabilidade e estética

O Método PhD de Alinhamento segue 7 etapas científicas obrigatórias: Cada etapa é baseada em biomecânica ortodôntica e análise tridimensional do osso, raiz e tecido facial.

  • Alinhamento individual
  • Ajuste de largura
  • Ajuste de altura
  • Encaixe oclusal
  • Inclinação radicular
  • Mastigação funcional
  • Refinamento estético

Este é o único caminho lógico entre dentes desalinhados e um sorriso que sustenta, rejuvenesce e estabiliza.

Relatos de pacientes

"Parece que tirei 10 anos do rosto. E ninguém percebeu que fiz nada."
— Ana Paula, 37 anos, empresária
"Meu rosto ficou mais leve. Não imaginava que os dentes tinham tanto impacto."
— Juliana, 42 anos, médica
"Alinhei os dentes e ganhei de presente um rejuvenescimento que nenhum creme fez."
— Carla, 44 anos, advogada
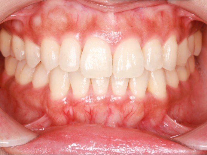
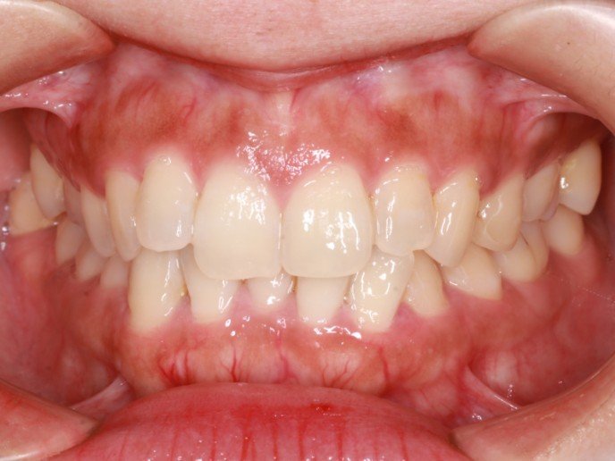
ANTES
Agendar minha avaliação PhD
Imagem 8

Reduza a distância entre sua imagem atual e a versão rejuvenescida que você merece viver.

  • Seus dentes estão desalinhados há anos (ou desalinharam aos poucos)
  • Seu rosto parece “cair” ou perder definição
  • Você evita sorrir em fotos ou se incomoda com a aparência
  • Tentou tratamentos estéticos na pele, mas o resultado não durou
  • Tem medo de aparelhos metálicos ou procedimentos invasivos

O problema não está na pele. O problema está na estrutura que sustenta a pele: seus dentes.

Mas quando você reposiciona a arcada com ciência e precisão milimétrica, você recupera suporte, contorno e leveza com naturalidade.

Agendar minha avaliação PhD

Não é sobre “ter dentes alinhados”. É sobre se tornar a versão mais jovem e confiante de si mesma.

O Método PhD de Alinhamento não entrega apenas:

  • Dentes retos
  • Um sorriso “arrumado”
  • Alinhamento temporário

Ele entrega:

  • Uma face reorganizada estruturalmente
  • Um sorriso que sustenta e rejuvenesce
  • Uma transformação silenciosa (as pessoas notam, mas não sabem o porquê)
  • Uma identidade estética renovada — você parece mais jovem sem parecer “feita”
Agendar minha avaliação PhD

Por que este método é verdadeiramente exclusivo?

  • PhD em odontologia (formação científica de doutorado)
  • Planejamento 3D milimétrico (cada dente é posicionado digitalmente antes de iniciar)
  • Tecnologia Invisalign (alinhadores invisíveis de última geração)
  • Análise facial estética (não é só ortodontia)
  • 7 etapas científicas obrigatórias (sem atalhos)
  • Respeito à sua anatomia, idade e biologia

Não existe improviso aqui. Existe ciência aplicada à estética facial, com previsibilidade, elegância e naturalidade absoluta.

Agendar minha avaliação PhD
Imagem 11

Vagas limitadas

A Dra. Lituania atende um número limitado de pacientes por mês para garantir acompanhamento PhD em cada etapa. Não é escassez artificial. É compromisso com excelência e atenção exclusiva.

Agendar minha avaliação PhD

Pronta para recuperar a estrutura facial que sustenta sua juventude e confiança?

  • Parecer mais jovem sem exageros
  • Alinhar os dentes com discrição absoluta
  • Recuperar leveza e vitalidade facial
  • Ser atendida por uma especialista PhD
  • Resultados elegantes, naturais e previsíveis

Então o Método PhD de Alinhamento foi criado para você. A decisão que separa um sorriso comum de um sorriso cientificamente rejuvenescido.

Agendar minha avaliação PhD

Contato

WhatsApp / Telefone: 11 95095-3554

Endereço: Rua Dona Adma Jafet, 74 - Cj. 75 - Bela Vista, São Paulo - SP